机器人敌过10年手术经验医生 精准治疗利器为高难度肿瘤介入手术保驾护航 □王晓凡 文/图

MAXIOTM(人工智能三维靶向定位系统机器人)

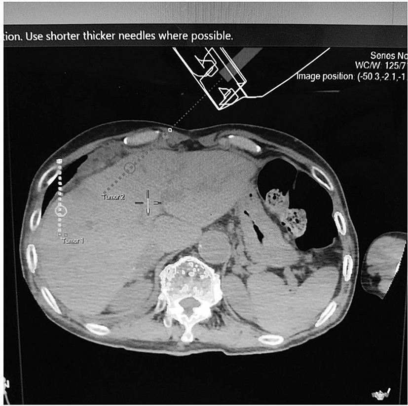
机器人可以设定高难度的进针路线。图中消融近肝包膜及膈顶病灶设计斜行进针路线,避开肺脏和肝内脉管。

制订消融进针计划,设定消融参数,使消融区覆盖瘤体。

3D显示消融针进针路线及消融范围

机器人助力介入科医生完成全麻下CT引导肝肿瘤微创消融手术
74岁的陈老先生被确诊为原发性肝癌,一个肝上竟然长了5个肿瘤结节,而且均位于肝包膜下、门静脉血管旁等部位。因其患有高血压病,又是高龄患者,实施外科手术风险较大;而肿瘤结节所处的位置对于微创介入消融也是高风险部位。最终,陈老先生慕名来到河南省肿瘤医院放射介入科治疗。 针对陈老先生的肿瘤分布特点,河南省肿瘤医院放射介入科主任黎海亮主持科内讨论,决定应用新引进的机器人MAXIOTM人工智能导航系统协助完成陈老先生的微创手术。随后,放射介入科副主任医师郑琳团队在机器人MAXIOTM的帮助下,实现了穿刺路线精确计算定位、机械手引导精准布针;凭借3个直径2毫米的小孔,在1小时内一次性对陈老先生肝内的5个肿瘤结节完成了根治性微创射频消融手术。 据悉,河南省肿瘤医院是华中地区唯一一家引入并操作机器人MAXIOTM完成肿瘤微创手术的医院,真正实现介入微创手术的智能化,使技术难题变得简单轻松。 什么机器人这么神 据黎海亮介绍,目前,介入手术具有创伤小、患者术后恢复快等优势,越来越广泛地应用于早期肿瘤、转移灶等微创治疗中。以肿瘤射频消融为例,是将射频针经皮肤穿刺入肿瘤后产生足够的热量,使肿瘤组织发生凝固性坏死。医生需要在CT影像或彩超等设备的引导下,根据临床经验判断从体表的哪个点进针、进针角度多少、进针深度多少、如何回避肿瘤附近正常的血管和脏器等问题,这就要求医生具有丰富的临床经验。 对于一些高风险、高难度的微创手术,如第一、第二肝门区肿瘤消融手术、胰腺肿瘤粒子植入手术、多结节同步消融手术等,即使具有10年以上介入手术经验的医生操作起来也颇具风险和挑战。 近日,美国生产的人工智能三维靶向定位系统机器人MAXIOTM在河南省肿瘤医院肿瘤微创介入手术室完成装机,可应用于CT引导下经皮穿刺手术,如射频及微波热消融手术、氩氦刀超低温冷冻消融手术、不可逆电穿孔纳米刀手术、碘125粒子植入手术等。 该机器人可一次引导6根针,对4个靶病灶实施精准的三维导航穿刺,协助手术医师在一套系统上完成查看、计划、执行和验证介入微创手术的全套工作,解决“盲穿手术”长期以来面临的高难度、高风险、高辐射曝光量等一系列问题。 “消灭肿瘤相当于领兵打仗。介入科医生是将军和总指挥,而机器人MAXIOTM恰恰像军师和智囊团,为将军出谋划策,便于更精准、更快速地歼灭敌军。”黎海亮说。 机器人“爱动脑、精计算、善动手” 术前,陈老先生的CT影像显示,肝内5个结节位置都处于高风险部位,分别位于邻近膈肌的肝包膜下、第一肝门区、门静脉血管旁等。专家评估认为,穿刺进针难度大,需要跨越多个横断面斜行进针才能完成布针,若有偏差,消融手术就可能损伤膈肌、血管和胆管。 经科内讨论,郑琳决定为陈老先生实施机器人导航全麻下CT引导的肿瘤射频消融手术。治疗前,医生将病灶区域扫描的图像信息传入机器人MAXIOTM人工智能导航系统。随后,医生在系统中应用3D软件,在立体图像中选择最佳穿刺路径,并对消融针类型、消融参数进行选择,而“爱动脑子”的机器人自动生成治疗计划图及布针方案。 不仅如此,机器人的机械手按照治疗计划参数,自动进入引导区域,医生仅需要将消融针安放入机械手,按照机械手引导方向将其刺入患者体内,就完成了精准布针。 经过精准定位和布针,最终5个靶病灶完全消融,且未伤及邻近脏器和脉管。消融治疗结束后,机器人将治疗后图像与计划图像融合,评估消融效果,防止治疗区域的遗漏。手术仅用1小时就顺利完成了。陈老先生仅在腹部和侧腰部位留下3个直径2毫米大小的小孔,就实现了肿瘤根治。3天后,陈老先生康复出院。 黎海亮表示,有了机器人MAXIOTM的精准导航,原本高难度的手术变得安全又快速。原来完成陈老先生的手术,各部位穿刺需要依次扫描定位、分布进针,对医生的空间构图能力、穿刺技术水平要求非常高,完成大概需要2小时。有了人工智能的协助,可以一次扫描完成所有穿刺布针的计划,每次穿刺只需按机械手指引路径将消融针刺入即可,穿刺角度和深度均已由人工智能设定好,消融针会按照设定路径巧妙地避开血管、脏器,一针直达靶区。完成手术后还可及时评价治疗效果,若有遗漏,可及时补充治疗。现在完成此类手术只需1小时,大大缩短了全麻手术时间,降低了手术风险,治疗也更加精准。 (作者供职于河南省肿瘤医院) |