肩周炎合并肩袖损伤的诊治 □孔存龙 文/图
肩周炎和肩袖损伤都是常见病,对它们的治疗不太一样。因此,如何诊断和鉴别,以及如何治疗,是临床上要关注的问题。
临床病例
患者王某,女性,58岁,郑州人,自由职业者,以“左肩疼痛1年,加重伴活动受限3个多月”为主诉就诊。 1年前,患者无明显诱因出现左侧肩关节持续性疼痛,疼痛性质为酸胀痛,向左侧肘部及肩胛区放射,活动后加重,休息后可减轻。患者曾就诊于当地医院,被诊断为肩周炎。医生给予外敷等治疗,无明显效果。3个月前,患者无明显诱因出现活动受限,不能完成梳头、穿衣、脱衣等动作,自己进行康复锻炼后疼痛加重,夜间更重,影响睡眠。为寻求进一步治疗,患者来到郑州大学第一附属医院就诊,门诊以“肩周炎合并肩袖损伤?”为诊断将其收治入院。 患者既往有糖尿病病史27年,口服西格列汀二甲双胍(捷诺达850毫克),一天2次,一次1粒;吡格列酮30毫克,一天1片,自述血糖控制尚可。患者的婚育史、家族史无特殊。 查体:疼痛评分(NRS评分)6分。双肩外观对称,无瘢痕、皮损、疱疹。触诊:左侧喙突处肌肉附着点、肱二头肌长头腱近端止点、肩胛下肌远端止点、三角肌两端起止点、冈上肌远端止点、冈下肌小圆肌远端止点压痛阳性。肩关节活动受限,外展45度、前举60度、背伸30度。 从患者的相关资料上,我们大致可以总结出3个特点:第一个特点是50多岁起病,肩周疼痛,伴有活动受限。这是肩周炎的典型特点。我们能直接诊断该患者为肩周炎吗?患者还有第二个特点,3个月前自行锻炼后病情加重,夜间疼痛较重。这个就不太符合肩周炎的表现了,这是肩袖损伤的表现。第三个特点是患者有长期的糖尿病病史,糖尿病患者如果血糖控制不好,肩周炎也不好痊愈,肩袖损伤也不好修复。
临床分析
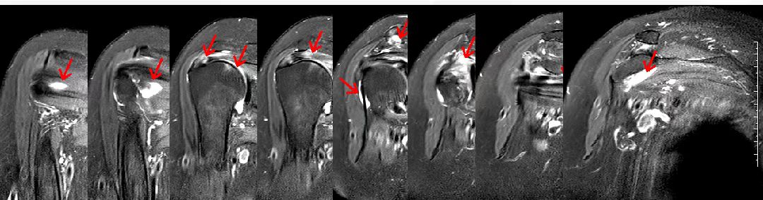
根据患者的发病特点,我们给出入院诊断:一、肩周炎?二、肩袖损伤?三、2型糖尿病。当然,我们还要与可能引起肩关节疼痛的其他疾病相鉴别,如肩关节肿瘤、肩关节感染、颈椎病、冠心病、肺或胸膜病变。 患者入院后,我们为患者安排相关的医学检查,以明确诊断。肩关节感染和肿瘤可以引起肩关节疼痛和活动受限。患者的血常规检查、肝功能检查、肾功能检查、肿瘤标志物筛查结果都是正常的,空腹血糖17毫摩尔/升,糖化血红蛋白9.8%。从检查结果可以看出,该患者血糖控制不佳,与其自述的血糖控制尚可明显不符。患者的血沉、C反应蛋白、血常规等检查结果都是正常的,只有降钙素原稍微高一点儿,没有特殊意义,所以对该患者可以基本排除肩关节感染和肿瘤。 一些心脏病可能不表现为心前区疼痛,反而是放射至肩关节位置的疼痛,所以有肩关节疼痛时,患者一定要警惕心脏病的可能。该患者的心电图和心脏彩超检查结果都没有大问题,所以心脏病可以基本排除。 靠近左肩部的肺或者胸膜的病变也可以导致肩关节疼痛。该患者的胸部CT检查结果显示双下肺轻度炎症,未见肿瘤病变,所以肿瘤、肺或胸膜病变也基本排除。 与肩周炎和肩袖损伤最易混淆的疾病通常是神经根型颈椎病,颈椎的颈4、颈5神经支配的是肩关节,如果颈椎病压迫颈4、颈5神经根,就会引起肩关节疼痛。很多肩关节疼痛的颈椎病患者一开始会被误诊为肩周炎。对该患者,我们让其做了颈椎磁共振检查,结果未见明显异常,颈4、颈5神经根未见受压,所以颈椎病也基本排除。 肩关节疼痛最主要的检查是肩关节磁共振。从这个患者的肩关节磁共振检查报告,可以见到肩胛下肌、冈上肌、冈下肌、小圆肌、肱二头肌长头腱、喙突下滑囊、肩关节腔、肩峰下滑囊等结构中有大量的炎症信号、水肿甚至积液,并且冈上肌可见部分撕裂,所以对这个患者的肩周炎和肩袖损伤诊断都是成立的。 至此,对该患者的初步诊断明确:一、肩周炎;二、肩袖损伤;三、2型糖尿病。诊断明确后,对下一步的治疗才好确定方案。
临床治疗
对该患者诊断明确后,我们对其采用基础用药方案:氟比洛芬凝胶贴膏加醋氯芬酸肠溶片进行抗炎止痛,并联合应用中枢性肌肉松弛药替扎尼定。 全身用药作用较慢,并不能够迅速消除该患者肩关节局部的炎症、水肿和疼痛,必须有一种方法能够直接作用于病变部位,快速改善症状,促进关节炎症的消除和肌腱损伤的修复。基于这些考虑,我们在超声引导下对患者进行肩关节注射治疗。 关于局部炎症损伤引起的疼痛,我们一般首选的局部注射药物是甾体类药物(曲安奈德、倍他米松或者地塞米松等)。 甾体类药物具有强大的抗炎作用,能够迅速消除炎症,改善水肿,减轻疼痛。但是,因为这个患者血糖控制不佳,可能针对其应慎用或者禁用甾体类药物。我们采用三氧治疗(又叫臭氧治疗)方法。三氧具有非常好的抗炎作用,它还能够氧化蛋白多糖,减轻滑膜水肿,并能够改善组织缺氧,直接止痛,是非常好的一个抗炎治疗方法。该患者进行三氧治疗后,炎症迅速消除,疼痛也明显缓解。 这个患者除了肩周炎,还有肩袖损伤,而肩袖损伤的修复相对困难。这些年来,在运动医学领域,PRP(富血小板血浆)注射治疗技术应用非常广泛,NBA(美国男子职业篮球联赛)湖人队球员霍华德就因为肩关节盂唇撕裂,接受了PRP注射治疗并取得了非常好的效果。PRP注射治疗是抽取患者自身血液,提取PRP,应用于患者自身,加速人体的自然愈合,促进骨和软组织再生。提取的这些PRP成分,不仅为组织修复提供了“浓缩的营养”,还为组织修复创造了更好的修复环境,能有效促进和加速组织修复。 我们借助疼痛科医生的“第三只眼睛”——超声,对该患者进行了三氧和PRP注射治疗。在超声下,可以非常清楚地看到病变部位,进行穿刺,能够准确地将穿刺针刺入相应的病变部位,达到靶点治疗的目的,并能够避免损伤血管神经等组织结构带来相应的不良反应。 这个患者最后的转归非常好,住院时进行了基础的药物治疗,在入院的第2天和第4天进行了肩关节三氧治疗后,疼痛评分迅速由中重度疼痛的6分降到了轻度疼痛的3分,然后在第6天和第13天分别进行了肩关节PRP注射治疗。出院时,患者的疼痛评分仅1分;一个月后随访,患者的疼痛基本消失。(作者供职于郑州大学第一附属医院)
   
|