急性迷路炎引起头晕 □李 慧 文/图
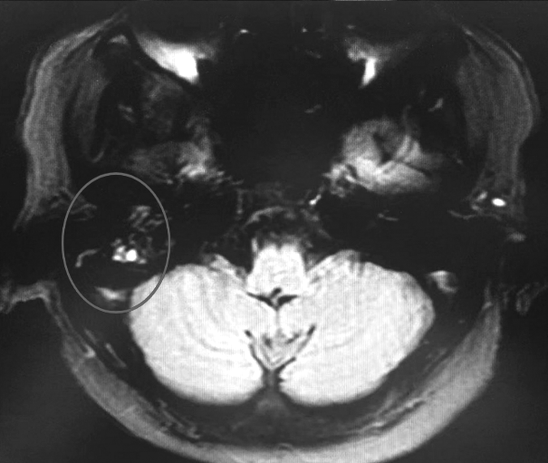
在临床工作中,神经内科医生会遇到各种原因引起的头晕患者。其实,脑血管疾病等导致的头晕危害较大,患者要及时诊治。下面,我为大家介绍一例耳源性头晕病例。对于耳源性头晕,大家容易忽视,但这种头晕可以导致听力丧失、颅内感染等,后果比较严重。 病例 陈某,女,63岁,农民。患者诉说入院前10天无明显诱因出现头晕、恶心、视物晃动,走路时向一侧倾斜,像醉酒一样,伴头懵、睡眠质量差,无其他特殊不适。 患者一直说自己身体之前很健康,“一辈子没吃过药”,平常感冒发热不吃药就会好,谁知这次在家苦苦挨了10天,头晕总是不见好转,反而越来越严重,就在当地医院进行头颅磁共振检查,没发现异常。患者遵医嘱进行治疗,效果不好,心里很着急。 查体 陈某来到郑州大学第二附属医院就诊。医生对她进行查体,发现她听力下降,右侧更明显,存在左向自发性眼震。床旁甩头试验结果提示右侧阳性,站立及走路时向右侧倾斜,肢体活动尚可。 诊断 除听力及眼震外的颅神经受损表现,患者无肢体感觉等神经系统受损表现,定位在前庭周围器官;患者自发性眼震向左,提示病灶在右侧前庭器官,结合右侧听力下降,定位在右侧内耳。 医生继续询问病史,得知患者1个月前耳朵流水,没有治疗,几天后不再流水,就没有在意。医生仔细看了患者带来的磁共振片子,发现了端倪:右侧中耳、内耳及乳突区和左侧对比有异常信号(见图1圆圈内)。 结果 医生告诉患者,她的头晕与1个月前的耳朵流水有关,建议立刻进行纯音测听、电耳镜、声导抗、颞骨CT等耳科检查。检查结果提示:双耳听力均有所下降,右侧明显,且右侧外耳道有脓液(图2)。患者被诊断为化脓性中耳乳突炎并发急性迷路炎! 什么是迷路炎? 迷路炎(中内耳炎),为耳部感染侵入内耳所致,是化脓性中耳乳突炎较常见的并发症。 迷路内有感受听力的耳蜗,还有感受平衡信息的前庭器官,故迷路病变会引起听力受损及平衡受损,表现为严重眩晕,呕吐频繁,头部及全身稍微活动就会加剧头晕症状,听力部分或完全丧失,可有耳深部疼痛。医生对患者进行检查时,可发现眼震等。 有哪些危害? 主要危害为引起耳聋及平衡功能障碍。化脓性迷路炎可诱发颅内感染,不及时诊治,会危及生命。 怎么治疗? 一般急性发作期可给予患者全身足量抗生素,控制感染,同时给予抗晕、止吐、镇静等对症治疗,必要时进行乳突手术治疗。 结语 诊断明确后,医生立即给予患者足量抗生素及对症药物治疗,患者的病情很快得到控制,近日出院。其实,头晕的病因很多,脑梗死、脑出血、脑肿瘤、脑炎等疾病起初会有头晕症状,还有一部分耳科相关疾病也会导致头晕。因此,出现头晕及平衡不稳之类的疾病,患者需要到正规眩晕中心进行诊治,避免误诊,以免延误治疗时机。 (作者供职于郑州大学第二附属医院)
 
|