新型临床分型催生贲门癌手术方式革命 □冯金灿 文/图

图1
肝脏、胃底和贲门切迹下缘3个对照层次划分:A层面为肝脏顶部平面,B层面为胃底顶部平面,C层面为贲门切迹下缘平面。

图2

图3

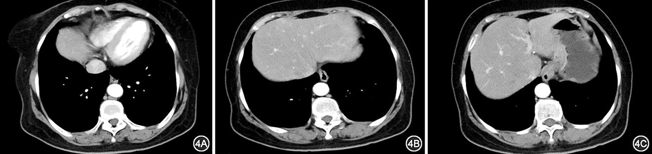
图4

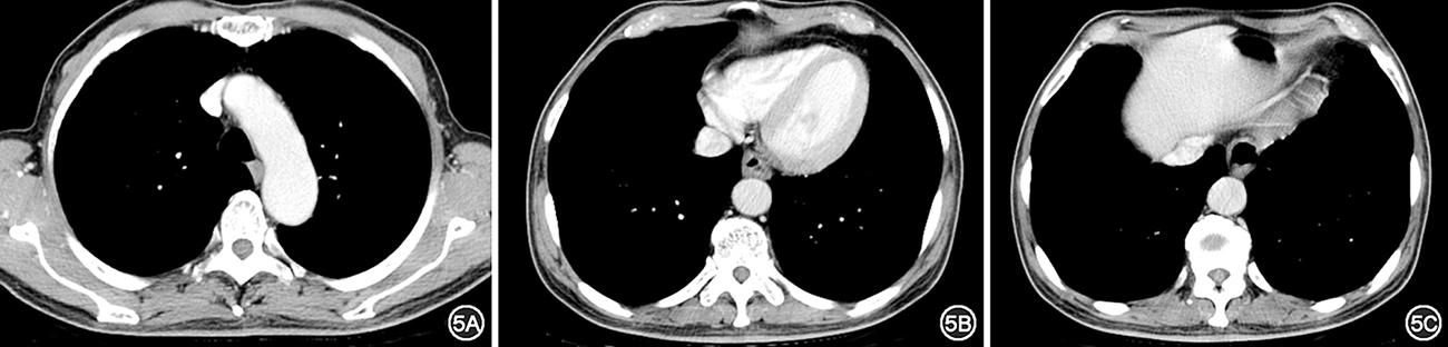
图5
Ⅰ型(图2)肿瘤上界位于C层面以下。2A:C层面(未见肿瘤上界),2B:C层面以下(出现肿瘤上界)。Ⅱ型(图3)肿瘤上界位于B和C层面之间。3A:B层面(未见肿瘤上界),3B:B和C层面之间(出现肿瘤上界)。Ⅲ型(图4)肿瘤上界位于A和B层面之间。4A:A层面(未见肿瘤上界),4B:A和B层面之间(出现肿瘤上界),4C:B层面(可见肿瘤瘤体)。Ⅳ型(图5)肿瘤上界位于A层面以上。5A:主动脉弓层面(未见肿瘤上界),5B:A层面以上(可见肿瘤上界),5C:A层面(可见肿瘤瘤体)。
权威研究显示,目前,我国胃癌的整体发病率呈下降趋势,但食管胃交界部癌(贲门癌)因其独特的解剖特点和生物学特性,发病率逐年上升,但因手术难度高,预后差,复发率高。究其原因,手术入路方式的选择是关键。 目前,医学界广为应用的贲门癌分型是Siewert(西沃特)分型(1987年由德国学者Siewert基于食管胃结合部的解剖学特点提出的分型),此分型以肿瘤中心位置的差异分3个类型:Ⅰ型肿瘤主体位于食管胃交界部上1~5厘米,Ⅱ型肿瘤主体位于食管胃交界部上1厘米至下2厘米,Ⅲ型肿瘤主体位于食管胃交界部下2~5厘米。 依据肿瘤主体位置分型,Ⅰ型和Ⅲ型肿瘤可以进行开腹手术或者经胸手术,但对于一些肿瘤向上侵犯明显的Ⅲ型肿瘤和Ⅱ型肿瘤,如何在确保手术效果和尽量减少患者手术创伤的前提下选择合适的手术方式,一直没有明确的参考标准。 对绝大多数患者而言,肿瘤下界在胃部的切缘往往可以做到10厘米甚至更长,所以极少在下界复发;而上界往往因受膈肌、肺、心脏、主动脉弓等影响,相当一部分患者做不到手术切缘向上5厘米甚至3厘米的技术要求。因此,很多患者都在上界复发。因此,影响贲门癌手术难度和预后的主要因素是如何明确食管受累范围,手术中确保上界切除范围充分。 Siewert分型依据的是肿瘤的中心位置,并不参考肿瘤上界的位置,不能指导临床手术入路和手术范围的选择,这种弊端也是引起贲门癌术后复发的重要因素。 自2011年以来,河南省肿瘤医院普外科青年专家赵玉洲对数千例食管胃交界部癌(贲门癌)患者的临床病理资料进行了分析总结,以3个点确定4种肿瘤分型,分别选择相应的手术入路方式,改变了过去沿用30年的以肿瘤中心进行分型的手术方式,为食管胃交界部癌(贲门癌)的手术分型提供了全新标准,使分型更科学,手术方式更精确。 具体来说,对贲门癌患者在术前2~5天进行胸、上腹、下腹、盆腔增强CT(电子计算机断层扫描)扫描,依据CT扫描图像对照患者的肝脏顶部、胃底、贲门切迹对肿瘤上界进行确认:肿瘤上界位于贲门切迹以下的为Ⅰ型,提示腹段食管未受累,可以经腹完成手术,首选经腹全胃切除术+D2淋巴结清扫术。如果经腹手术不能完成上切缘5厘米的技术要求则在术中要经腹切开膈肌继续游离食管下段完成切除。 肿瘤上界位于胃底以下、贲门切迹以上的为Ⅱ型,提示腹段食管受累,但胸段食管未受累,可以经腹切开膈肌进胸完成手术。如果经腹探查可以经腹完成手术并确保有5厘米左右的食管下段的安全距离则经腹完成手术;如果经腹手术不能确保5厘米的安全距离,则术中经腹切开膈肌继续游离食管下段完成部分食管切除术+全胃切除术+D2淋巴结清扫术。 肿瘤上界位于胃底以上、肝脏顶部以下的为Ⅲ型,提示胸下段食管受累,应进行胸腹联合入路完成手术,进行左开胸胸腹联合部分食管切除术+全胃切除术+D2淋巴结清扫术。 肿瘤上界位于肝脏顶部以上但未累及主动脉弓的为Ⅳ型,胸腹联合入路可以完成手术;但如果进行胸内吻合则不能保障足够的上切缘,应进行左开胸胸腹联合部分食管切除术+全胃切除术+D2淋巴结清扫术。 之所以提出这样的分型,除了基层医生简单易懂、受设备条件限制少、易于在基层推广等优势外,依据肿瘤中心位置分型不利于具体手术方式的选择,肿瘤直径普遍过大,受累范围广、预后差、复发率高也是其重要原因。 赵玉洲提出,此前增强CT检查仅用于胃癌分期评估,而手术入路选择往往靠胃镜和上消化道造影检查,但由于部分肿瘤沿食管黏膜浸润或者沿食管前后壁浸润,可能会存在对食管下段的误判,同时因个体差异和解剖结构的差异,也会存在患者腹段食管较长或者较短的情况。因此,常常存在开腹入路后发现食管受累过多但经腹手术过于勉强、开胸手术后发现原本可以经腹手术等情况。因为经腹手术经常采用中线开口,而胸腹联合手术多采用左开胸肋部进胸的斜切口,两个切口不能相互转换,一旦选错很难补救。此次提出的“3点4分法”可以较好地解决手术入路选择的问题,不仅使手术入路更加精准清晰,也在尽可能减少病人创伤的基础上使肿瘤切除更加彻底,切缘充分率达到100%,术后吻合口瘘的发生率低于1%,从而提高食管胃交界部癌(贲门癌)的治愈率。 赵玉洲提醒基层医生,“3点4分法”CT检查和阅片要注意以下几点:病人CT检查前尽可能多饮水,使胃处于充盈状态,便于观察胃部形态。肝脏的膈顶最高位与贲门切迹可能不在一个冠状面上,因此矢状面的图像比冠状面的图像更有意义。贲门癌肿块的定位应依据其典型的CT表现“三主征”:胃壁异常增厚、胃壁僵硬和胃壁异常强化。为了避免钡剂对CT扫描的影响,建议使用泛影葡胺进行上消化道造影,或在CT扫描后在进行上消化道造影。如果患者之前做过肺部,或肝部手术,患者体型不同胸廓大小也不同,此种分型会有偏差,应灵活对待。 应用“3点4分法”指导手术也要注意一定的技巧。如果患者矮胖,手术视野暴露不足,无论采用哪种手术入路都可以采用凯图联合OrViL技术(经口钉砧头输送系统吻合技术)进行消化道重建。较传统的技术不仅可以增加食管切缘2厘米,也能增加手术的安全性,降低手术难度并缩短手术时间,同时高位吻合尤其是胸内吻合并在吻合口旁放置纵隔引流管,以减少术后因纵隔积液导致的吻合口瘘,并降低吻合口瘘的严重程度。 总之,“3点4分法”对贲门癌手术入路选择有积极的指导意义,正确使用该方法可以使手术入路选择更明晰,有助于提高手术效果,降低复发率。 |