□刘薇 文/图
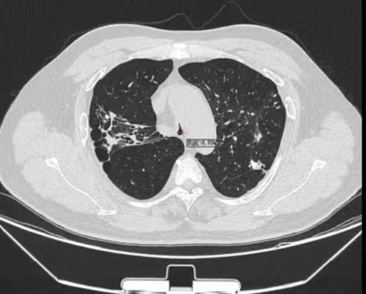
日前,患者赵先生因进行性呼吸困难来到河南省胸科医院寻求治疗,被确诊为支气管结核导致气管中下段重度瘢痕性狭窄,最窄处直径仅3毫米,且局部软骨环破坏、塌陷。这种情况属于较严重的并发症,可能是由于结核杆菌感染导致气管瘢痕形成、肉芽组织增生、支气管壁纤维化及管腔塌陷等因素引起的。患者的通气功能严重受损。因狭窄部位靠近隆突,治疗难度较大,风险极高,稍有不慎就可能导致大出血、气道完全闭塞等致命性并发症。
河南省胸科医院呼吸内镜中心主任王振静组织结核内科、麻醉科、医学影像科等多学科专家会诊。经全面评估,专家制定了详细的手术方案:在全麻下,先用球囊扩张狭窄段,再经硬质支气管镜植入定制的Y型硅酮支架,以支撑气道结构,恢复气道通畅。
术中,麻醉团队在患者气道条件较差的情况下,顺利完成全身麻醉与气道管理,为后续操作提供安全保障。在硬质支气管镜的引导下,手术团队先对狭窄部位进行球囊扩张,随后将术前根据患者的三维CT(计算机层析成像)数据定制的Y型硅酮支架精准地覆盖于气管狭窄段。该支架与患者的气道解剖结构完美贴合,实现最佳支撑效果,并可最大限度地减少黏膜刺激增生等。支架展开后,可稳定地支撑隆突及双侧主支气管,使气道狭窄立即解除。
术后,赵先生自觉呼吸顺畅。复查显示支架位置良好,气道通畅,呼吸困难症状显著缓解。
球囊扩张成形术+Y型硅酮支架植入术的适应证主要包括:
1.支气管结核导致的气管狭窄
结核杆菌感染后,气管可能因瘢痕挛缩而严重狭窄,影响呼吸。球囊扩张成形术+Y型硅酮支架植入术能有效撑开气道,改善通气。
2.外伤或术后瘢痕性狭窄
气管插管、气管切开或胸部外伤后,气管可能形成瘢痕,导致狭窄。球囊扩张成形术+Y型硅酮支架植入术可以使气道恢复通畅。
3.其他良性狭窄
包括复发性多软骨炎、气道内良性肿瘤或肉芽肿等引起的狭窄。如果药物治疗效果不好,可以考虑做球囊扩张成形术+Y型硅酮支架植入术。
(作者供职于河南省胸科医院)

术后医学影像图