
这个胃黏膜下隆起原来不是肿瘤
2024-09-10 来源:医药卫生报 第三版:临床荟萃 浏览:12568 次
□魏晓广 文/图
医生在胃镜下发现胃黏膜下隆起,而表面又很光滑,和周围正常的胃黏膜一样的时候,一般会判断为胃黏膜下肿瘤。有人会问,都判断是胃黏膜下肿瘤了,直接切除不就完了,为什么还要做CT(计算机层析成像)检查?
下面,我介绍一个病例,以此来解答上面的问题。
这是一个53岁的男性患者,以“发现胃体隆起性病变20多天”为主诉来到河南省人民医院门诊就诊。20多天前,患者腹胀、恶心、呕吐、发热,偶尔有泛酸、胃灼热症状,无嗳气、头晕、头痛。
医生给患者做了胃镜检查。检查结果如下:1.胃黏膜下隆起(考虑间质瘤可能);2.充血渗出性胃炎;3.十二指肠球炎。
这个患者的胃黏膜下隆起是什么疾病?是肿瘤吗?如果是肿瘤,如何治疗?胃镜下切除还是外科手术?我给患者及其家属讲解了有关知识。他们说,如果是肿瘤,就在胃镜下切除吧。我对他们说,有些病变胃镜下不一定能看清楚,还需要进行增强CT扫描。
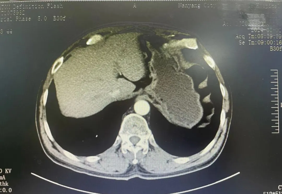
之后,我给患者做了胃镜检查,发现看不清楚,但能肯定不是肿瘤。那么,会是什么呢?我安排患者做增强CT扫描。结果提示一根肋骨顶在胃壁上,造成胃黏膜下隆起。
胃黏膜下隆起的原因找到了。可是,怎么会有一根肋骨顶在胃壁上?我详细询问患者,得知他以前是矿工,有过严重的外伤史,正是那次外伤形成的骨折愈合断端造成这个隆起,让他一直感觉不舒服。
诊断明确了,没有肿瘤,这让患者及其家属都松了一口气。
在临床上,医生应该详细询问病史,不能错过任何一个细节,认真分析可能出现的情况,多角度进行检查,以免发生误诊、漏诊。
(作者供职于南阳市第一人民医院)
