
ECMO支持下为患者实施经硬质支气管镜消瘤+气管支架植入术
2024-09-10 来源:医药卫生报 第三版:临床荟萃 浏览:21204 次
□王振静 刘 薇 文/图
76岁的秦先生因胸闷、呼吸困难来到河南省胸科医院就诊。
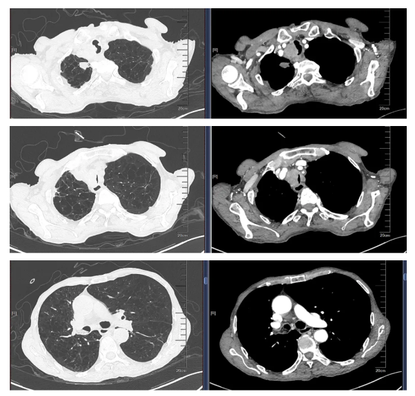
胸外科六病区(胸部肿瘤科)医生王洪涛快速为秦先生完善胸部增强CT(计算机层析成像)检查。结果提示气管右侧见软组织团块影,包绕气管软骨。结合影像学检查结果,王洪涛考虑秦先生为混合型中心气管狭窄,即病变在腔内、腔外均有累及,病变距声门约4厘米,气管病变长度为3.8厘米,最狭窄部位距声门5.7厘米,呈线样,严重程度高于85%。
河南省胸科医院组织专家进行会诊。会诊专家分析,秦先生2年前曾因右下叶角化型鳞癌接受右肺下叶癌根治术+胸膜粘连烙断术,这次出现气管肿物,不排除肺癌复发可能。由于秦先生存在随时出现大出血、窒息、猝死等风险,急需对其进行支气管镜检查,以明确气管管腔情况,并进行介入治疗,解决气管梗阻。
考虑到秦先生的具体情况,决定在ECMO(体外膜肺氧合)支持下使用支气管镜进行消瘤手术,并放置气管支架。
手术由呼吸内镜中心副主任王振静手术团队操作,体外循环及麻醉团队监测秦先生的生命体征。王振静先用常规支气管镜进行检查,发现气管上段距声门约4厘米处可见新生物,几乎被完全阻塞,上覆黄白苔,镜身(直径4.9毫米)不能通过,后更换硬质支气管镜,进镜顺利,然后快速旋切大部分肿瘤组织。在清除大部分病变组织后,他们在硬质支气管镜直视下顺利植入一枚覆膜支架。
术后第二天,秦先生的呼吸困难、咯血等症状得到明显缓解,被转入普通病房。
(作者供职于河南省胸科医院)
