
心脏里的“隐形通道”——卵圆孔未闭
2025-3-10 来源:医药卫生网 - 医药卫生报 浏览:次 【查看证书】一、您是否听说过“卵圆孔未闭”?
在胎儿发育过程中,卵圆孔是左右心房之间的天然通道。由于胎儿肺部未开始工作,氧气通过脐带来自母体血液。此时,卵圆孔允许富含氧气的血液绕过肺部,直接从右心房流入左心房,维持胎儿血液循环。出生后,随着婴儿的第一声啼哭,肺部扩张导致右心压力下降,左心压力升高,卵圆孔在血流动力学改变下,逐渐闭合。约75%的人在1岁内自然闭合,若3岁以上仍未闭合,则将遗留的裂隙样通道称为卵圆孔未闭(patent foramen ovale,PFO)(见图1)。
但您知道吗?大约每4个人中就有1人的心脏里存在这种“隐形通道”,绝大多数PFO患者无任何不适,仅在体检时偶然发现。但它可能成为隐患。当右心房压力升高时(如咳嗽、憋气),静脉系统的微小血栓或代谢产物可能通过PFO进入左心系统,引发不明原因脑卒中、偏头痛甚至减压病等。PFO患者发生缺血性中风的风险较常人高2-4倍,尤其是年轻患者(<55岁)。血栓从静脉经PFO进入动脉系统,堵塞脑血管,称为“反常栓塞”。40%-60%的先兆性偏头痛患者存在PFO,可能与微小血栓或血管活性物质绕过肺部滤过有关。当出现类似中风症状,但24小时内完全恢复,需警惕PFO可能。潜水员病潜水上升时,氮气气泡可能通过PFO进入动脉系统,引发神经症状,称为减压病。
二、如何发现这个“隐形通道”呢?
1、经胸超声心动图(TTE)是将探头置于胸壁,透过皮肤、皮下肌肉及脂肪组织对房间隔的分流进行评估,由于深度导致分辨率降低,很难准确诊断及测量 PFO。对于 TTE 声窗较差、房水平分流量小的患者,检查结果可能为假阴性。TTE适用于初步筛查或无法耐受其他检查者。
2、经食管超声心动图(TEE) 将探头经咽喉伸入食管,紧贴心脏后方,不受肺气干扰,可清晰观察到PFO的位置、形态、精确测量孔径及隧道长度,检出率高。其缺点是侵入性操作可能引发恶心,需局部麻醉。适用于疑似反常栓塞患者的金标准检查方法。
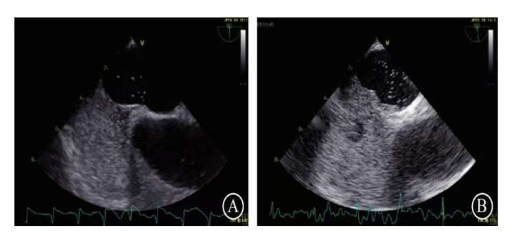
3、右心声学造影检查 目前常用振荡的无菌生理盐水配制声学造影剂,由于其产生的微泡较大,不能通过肺循环,只能在右心显影,故称为右心声学造影剂。右心声学造影检查可实时观察气泡是否从左心房出现。若存在PFO,气泡会通过未闭合的卵圆孔,直接“漏”到左心系统。TEE 结合右心声学造影能评价右向左分流量,评估患者的风险程度;可清楚观察右向左分流是来源于PFO 还是心内其他分流(见图2)。
4、经颅多普勒发泡试验(c - TCD):注射震荡生理盐水,观察大脑中动脉内有无微气泡信号,来间接判断,其优点是敏感性高,缺点是不能区分来源(见图3)。
5、心脏CT与MRI CT可快速三维成像,但辐射暴露限制其常规使用。MRI无辐射,可评估心脏功能,但对PFO直接显示能力有限。适用于合并其他心脏畸形时的补充检查。
三、确诊PFO后该怎么办?
PFO是否需要治疗,取决于患者是否出现相关症状或并发症。目前治疗方法主要包括观察随访、药物治疗、介入封堵术 三大类,需根据个体风险、症状严重程度及生活质量进行综合决策。
1、观察随访与生活方式管理
适用于无症状且无高危因素(如无中风史、无偏头痛、无深静脉血栓等)的PFO患者。偶然体检发现,分流较小(如发泡试验显示微泡<10个)。
此类患者定期观察,每1-2年进行心脏超声或发泡试验复查,观察分流是否加重。生活方式调整,避免久坐或长时间制动。久坐超过4小时可能增加静脉血栓风险,建议每小时活动5分钟。谨慎进行高压活动,如潜水(深度>10米易致减压病)、举重(屏气动作增加右心压力)等。控制心血管危险因素如高血压、高血脂、吸烟等可能间接增加血栓风险。
2、药物治疗:目标是预防反常栓塞,减少血栓通过PFO进入动脉系统的风险,主要分为两类:
(1) 抗血小板治疗,常用药物有阿司匹林、氯吡格雷。其治疗机制是抑制血小板聚集,降低动脉血栓风险。适用于低危患者(如仅有轻微头痛或短暂性脑缺血发作)。或封堵术后3-6个月内辅助治疗(预防封堵器表面血栓)。其优点是费用低、使用方便、出血风险较低。缺点是对静脉系统血栓预防效果有限。
(2) 抗凝治疗 常用药物有华法林、利伐沙班、达比加群。其治疗机制是抑制凝血因子,减少静脉血栓形成。适用于明确合并深静脉血栓或肺栓塞的PFO患者;或是高凝状态(如抗磷脂综合征、遗传性易栓症。其优点是对静脉血栓预防效果优于抗血小板药物。缺点是需定期监测、费用较高、出血风险增加。
3、介入封堵术:微创闭合“心脏小洞”
介入封堵术通过植入器械永久闭合PFO(见图4),是根治性治疗手段,尤其适用于高危患者。
(1)适应于明确PFO相关的脑卒中或短暂性脑缺血发作(排除其他病因后);顽固性偏头痛,药物治疗无效且发泡试验阳性;有职业需求者,如潜水员、飞行员等高压暴露人群;高风险解剖结构,如合并房间隔瘤、大量右向左分流(微泡>20个)。
(2) 手术过程 术前准备:空腹,经食管超声(TEE)明确PFO形态,评估封堵器型号。操作步骤,首先局部麻醉后穿刺股静脉,置入导管至右心房,接下来通过导管将封堵器(双盘状镍钛合金装置)送至PFO处,释放后固定于房间隔两侧,最后超声确认封堵器位置及无残余分流。整个手术时间是30-60分钟,住院1-2天。
(3) 封堵器类型
一种是传统金属封堵器,有国产和进口的,生物相容性好,但存在金属过敏风险(罕见)。还有一种是生物可降解封堵器,正在临床试验中,可逐渐被吸收,降低远期并发症。
(4)术后疗效与风险
有文献报道,封堵术使中风复发风险降低62%,尤其对<60岁患者效果显著;对偏头痛改善率约50%,患者术后头痛频率减少50%以上。<2%的患者出现并发症。术中并发症有心脏穿孔、封堵器脱落。术后,有5%-10%患者出现心房颤动、血栓形成(需抗血小板治疗3-6个月)、金属过敏。
(5) 术后管理
抗血小板治疗,阿司匹林+氯吡格雷双联治疗3-6个月,预防封堵器表面血栓。术后1、3、6个月、1年复查心脏超声随访,评估封堵效果及并发症。
PFO的治疗需平衡“干预必要性”与“过度医疗风险”。无症状者重在预防,高危患者则需积极干预。介入封堵术的发展显著改善了预后,但并非人人适用。患者应与医生充分沟通,结合自身症状、解剖特点及生活方式,制定最优策略。未来,随着可降解封堵器及基因风险预测的进步,PFO管理将更精准、安全。

图1 卵圆孔未闭示意图
图2 经食管超声心动图右心声学造影显示右向左分流
图3.经颅多普勒发泡试验诊断右向左分流

图4 PFO封堵器植入术后
(首都医科大学附属北京安贞医院介入超声科 汤丽丽)