
椎管内常见肿瘤的诊断及治疗
2024-11-5 来源:医药卫生网 - 医药卫生报 浏览:次 【查看证书】椎管内肿瘤是指发生于脊髓本身即椎管内与脊髓临近组织(脊神经根、硬脊膜、脂肪组织、血管、先天性残留胚胎组织、骨等)的原发肿瘤或转移性肿瘤的总称。
病因:1.遗传:有家族史者发生椎管内肿瘤的危险性明显增加;
2.感染:有慢性炎症部位,组织细胞反复生长并受到持续刺激易发生恶化;
3.环境:长期处于有致癌物的环境中,如染料、皮革、橡胶、塑料、油漆等,发生脊髓肿瘤的风险显著增加。
4.外伤:外伤所致的脊髓损伤,如脊髓开放性损伤等。
流行病学:脊髓肿瘤是一种常见病,每年新发病例2.5/10万,大约是脑肿瘤发病率的1/10。脊髓肿瘤常发生于20~40岁人群,男性多于女性。
椎管解剖:
椎管内肿瘤的分类:
1. 髓内肿瘤:特征:局部增粗肿大及信号异常改变,周围蛛网膜下腔对称性狭窄;常见类型:室管膜瘤、星形细胞瘤。
2. 髓外硬膜下肿瘤:特征:病侧蛛网膜下腔增宽,对侧变窄或闭塞,脊髓被推向对侧。常见类型:神经鞘瘤、脊膜瘤。
3. 硬膜外肿瘤:特征:蛛网膜下腔的闭塞,但是脊髓形态可正常或受压变形,脊髓可无移位;
常见类型:转移瘤或淋巴瘤。
临床表现及病程分期:
椎管内肿瘤的病程可分为三期。临床表现与肿瘤所在脊髓节段,肿瘤位于髓内或髓外,以及肿瘤性质相关。
1. 刺激期(神经根痛期):在疾病早期可出现神经根性刺激症状,表现为电灼、针刺、刀刮或牵拉样疼痛,咳嗽、喷嚏和腹压增大时可诱发或加重疼痛,夜间痛及平卧痛是脊髓肿瘤特殊的症状。
2. 脊髓部分受压期:表现为受压平面以下同侧肢体运动障碍、对侧肢体感觉障碍。脊髓内肿瘤感觉平面是从上向下发展,髓外肿瘤则由下向上发展。
3. 脊髓完全受压期:表现为受压平面以下运动、感觉、括约肌功能完全丧失,并且不可恢复。
辅助检查:
MR是椎管内肿瘤的最有效检查方法,能准确作出肿瘤定位、定量乃至定性诊断,是椎管内肿瘤病变的首选检查方法。
影像学特点:
1. 髓内肿瘤:
A. 室管膜瘤:最常见的髓内肿瘤,约占髓内肿瘤的55%~65%,好发于20-60岁,男性多见。
起源于脊髓中央管以及脊髓终丝的室管膜细胞,在中央管内上下蔓延,可长达数个髓节。瘤体上下两极的中央管常膨大形成囊肿或脊髓空洞。可发生于脊髓各段,60%以上发生在圆锥和终丝,其次为颈髓。多位于脊髓后部,绝大多数为良性,骶尾部肿瘤可沿终丝进入神经孔向髓外和硬膜外生长;
室管膜瘤生长缓慢,病史长,起病缓慢,首发症状多为感觉障碍,根性疼痛少见;
脊髓局限性不规则梭形增粗,由实性和囊性部分组成,囊性部分由肿瘤坏死液化和脊髓继发性空洞组成。T1呈低或等信号,T2高信号(易囊变、坏死、出血,故T1及T2可为混杂信号),中等程度均匀或不均匀强化,边界清楚。肿瘤头尾端边缘可见T2低信号,提示含铁血黄素沉积。
B. 星形细胞瘤:约占髓内肿瘤的25%,发病年龄在20-50岁之间,男:女1.5:1.以颈胸段多见(胸段75% )。恶性程度较低,无包膜,分界不清。
肿瘤起源于脊髓星形细胞,呈膨胀性或浸润性生长,与正常脊髓无明显分界,可发生囊变形成空洞,脊髓星形细胞瘤恶性程度低于脑内,多为I—Ⅱ级,但恶性程度与肿瘤范围不成比例。
由囊性和实行部分构成,两端常并发脊髓空洞。T1WI低信号,T2WI不均匀高信号。结节状不均匀强化,并有延迟增强现象。
2. 髓外硬膜下肿瘤:
A. 神经鞘瘤:起源于神经鞘膜的雪旺氏细胞,为最常见的椎管内髓外硬膜下肿瘤,占椎管内肿瘤的29%,占椎管内良性肿瘤的50%。经胸段多见,无性别差异。大部分起源于脊神经后根,呈纺锤状。实质性,呈圆形、卵圆形或分叶状,常单发,累及神经后根,多位于椎管后外侧;易发生囊变坏死,较大的可有出血,极少发生钙化,可经椎间孔延及硬膜内外呈哑铃状,可见周围骨质破坏,椎管扩大。
发展缓慢,瘤内囊变或出血可呈急性发病。首发症状多为神经根性症状,从远端开始肢体运动障碍。
T1WI呈低信号,T2WI呈高信号,囊壁可明显强化。
B. 脊膜瘤:占椎管内肿瘤25%,发病率为椎管内肿瘤第二位,胸段好发(多位于脊髓背侧),其次颈段(多位于脊髓前侧)。发病年龄30-70岁,女性多于男性。
起源于蛛网膜细胞,呈广基底,与硬膜紧密相连,膨胀性生长,边界清楚。以单发为主,直径在2-3.5cm,呈实质性。
主要症状以脊髓受压引起的根性疼痛为主,继之可出现运动感觉障碍,呈进行性加重。
T1WI呈低或等信号,T2WI呈高信号,少数可为低信号(与肿瘤易发生钙化有关),强化明显,可出现“脊膜尾征”。
C. 神经纤维瘤:起源于神经纤维母细胞,随肿瘤大小和生长方向不同,瘤体可能与脊髓间无明显分界,或与脊髓相连,组织学上可见施旺细胞、成纤维细胞、有/无髓鞘的神经纤维等多种成分存在,无明显年龄及性别差异。
神经纤维瘤由致密的神经纤维构成,对缺血、缺氧的耐受性明显高于神经鞘瘤,故肿瘤很少发生坏死、囊变。
分为结节型、丛状型、弥漫型。颈椎管内常见,单发或多发均可见,丛状神经纤维瘤常见,且与神经纤维瘤病!型相关,恶变率较高。
常伴随神经纤维瘤病(常显、多发性神经纤维瘤和皮肤棕色色素斑。
T1WI呈等或稍低信号,T2WI呈明显高信号(由于间质黏液样变),明显强化。
坏死及囊变少见。
3. 硬膜外肿瘤:
A. 脊索瘤:起源于脊索的残余组织,或可能来源于骨内良性脊索细胞的局部侵袭性肿瘤,好发于成人,儿童少见,多见于30-40岁女性稍多于男性。多发于骶骨,其次是颅底蝶骨、颈椎上段、胸椎及腰椎。
骶尾部肿瘤破坏骶骨后可向前侵入盆腔、向后侵入椎管压迫脊髓,肿瘤一般为良性,少数呈恶性可穿破硬脊膜 经脑脊液循环种植在其他部位。
骶尾部脊索瘤表现为骶尾部疼痛,肿瘤较大时可发生便秘;压迫骶神经时造成下肢及臀部麻木或疼痛。
肿瘤椎体明显膨胀变形,可出现“溶骨性”破坏;肿瘤生长速度缓慢,肿瘤的边缘有厚薄不一旦不完整的骨性包壳及骨质增生、硬化;
T1W1: 肿瘤与肌肉信号相近;病变内纤维分隔成细条索状低信号影,T2W1: 富含黏蛋白成分的脊索瘤呈高信号; 增强扫描肿瘤不均匀或不规则强化,
脊索瘤可同时侵犯邻近多个椎体及椎间隙:骨质破坏区伴有碎骨片钙化灶。
下面展示我科收治的3例椎管内典型病例和大家做共同探讨:
病例1 女性 43岁
患者以“腰部不适1月余”为主诉入院,专科查体双下肢各肌群肌力Ⅳ级,无明显病理征。
结合患者影像学资料,病变部位较长,椎体慢性受压改变,患者症状较轻,考虑病程较长,倾向于良性病变可能;T1等信号,T2混杂信号,局部脊髓信号增粗,髓内肿瘤可能,倾向于室管膜瘤。

行椎管内肿瘤切除+椎板回植术,术后患者下肢肌力正常,术前不适症状明显改善。
病例2 女性 61岁
以“四肢麻木无力6个月”为主诉入院,自诉上肢麻木持物不稳,下肢麻木行走费力。专科查体:四肢肌力Ⅳ级,双上肢Hoffmann征阳性,双下肢Babinski征阳性。双侧膝腱反射活跃。
结合术前影像学资料,病变位于髓外硬膜下,位于颈髓腹侧,边界尚清,T1等信号,T2略高信号,影像学上似起源于腹侧硬膜,考虑脊膜瘤可能。


行“颈1-3椎管内肿瘤切除+椎板回植术”,术后患者四肢肌力明显改善,病理征消失。
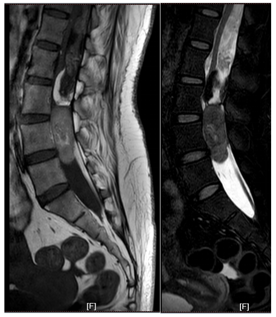
病例3:女性,31岁
患者以“腰部疼痛半月,加重3天”为主诉入院,自诉腰部疼痛,休息后无缓解。专科查体:腰部压痛及叩击痛+,双下肢小腿肌群肌力Ⅳ级+,感觉正常,无明显病理征。
结合患者影像学资料,女性,髓外硬膜下病变,病变位于胸腰段,节段较长,位于圆锥附近,T1、T2混杂信号,并合并有脂肪信号,患者症状较轻,病情发展时间较长,倾向于畸胎瘤可能。
行“胸腰椎椎管内肿瘤切除+钉棒内固定术”,术后腰部疼痛症状明显缓解,下肢肌力恢复正常。
治疗方式:
椎管肿瘤目前唯一有效的治疗手段是手术切除。手术均在显微镜下行肿瘤切除,以达到对神经及血管的最大程度保护。
1.良性肿瘤手术治疗
(1)对于不涉及脊柱稳定性者,显微手术切除加椎板复位;
(2)对于导致脊柱不稳者,显微手术切除加脊柱内固定,
2.恶性肿瘤手术治疗
行肿瘤切除及去椎板减压;影响脊柱稳定性的恶性脊柱肿瘤,可手术行肿瘤切除及脊柱内固定,达到缓解症状及维持脊柱稳定的目的,为术后放化疗或其他治疗提供依据。
3.非手术疗法
(1)患者全身状况不允许手术,均可行放射治疗。
(2)合并肢体功能障碍者,术后应行神经康复治疗。
(河南省肿瘤医院骨与软组织科 牛晓颖)