
比微创更微创--腰腿痛的极致微创治疗
2023-11-7 来源:医药卫生网 - 医药卫生报 浏览:次 【查看证书】腰椎间盘突出症是临床常见病和多发病,好发于成年人,是引起腰腿痛最常见的原因,目前我国腰椎间盘突出症的病人正逐渐呈发病率升高和年轻化的趋势。据流行病学调查,80%以上的人在其一生中曾患过腰腿痛,20%~25%的成人在一生中至少有一次因腰腿痛而影响工作。随着现代生活节奏的加快,人们的运动量普遍不足,缺乏锻炼使得腰部肌肉力量减弱,而现代职业者普遍存在长时间坐着工作的情况,特别是现在很多年轻人从学生时代开始就整天机不离手,长期斜倚在床或沙发上刷屏,导致腰椎承受压力增大,腰椎间盘突出症患者越来越呈现年轻化的趋势。
腰椎间盘突出症的症状因人而异,但通常包括以下几种:
下肢麻痛:可能从臀部、大腿、小腿放射到足部,麻痛既可以同时存在,也可以单独发生。
肌肉无力:受影响的区域可能出现下肢的肌肉无力。
姿势改变:患者可能会发现自己的姿势发生变化,以减轻疼痛。
对于治疗腰椎间盘突出症的方法,大多数患者愿意接受卧床休息、牵引、推拿、按摩、药物等保守治疗。保守治疗无效的患者,对于进一步采取脊柱内镜下微创手术或传统开放手术,也往往存在极大疑虑。尤其是一些年轻的患者,他们的椎间盘纤维环尚未完全破裂,但腰痛、腿疼严重,经保守治疗效果不明显,在治疗方式的选择方面没有明确的指南。
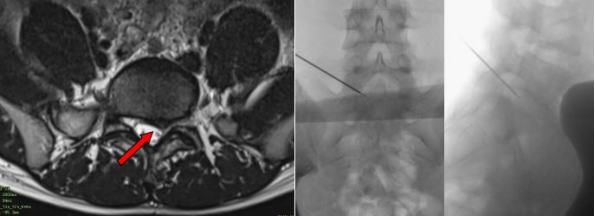
16岁的体校生小李,反复腰痛伴左下肢麻痛5月余,经系统保守治疗无效,入院前1周左下肢麻痛明显加重,无法正常上学。腰椎MR显示腰5/骶1椎间盘向左后突出,骶1神经根被卡压。考虑到患者是一名16岁的体校学生,如果采用常规的开放手术融合内固定治疗,则意味着患者体校生涯的结束,如果采用常规的孔镜辅助下微创摘除椎间盘,因为术中要切断纤维环,术后需要长时间的休息,将严重影响学业,也容易复发。根据病情及个人愿望,利用斜面入针法克服了高髂嵴及骨盆骨骺线未闭合等不利因素,精准施治,对患者实施了腰5/骶1椎间盘低温等离子髓核消融成形术。手术只需局麻,术中患者全程清醒,与医生交流自如,术后症状消失,穿刺口极微小,患者对治疗效果十分满意。

术前腰椎MRI显示椎间盘突出明显,侧隐窝狭窄 术中精准定位
手术穿刺口直径仅1.4mm,如非放大,几乎不可见
低温等离子髓核消融成形术是微创介入治疗的一种方式,是近年发展起来的以电化学为基础的新技术。等离子刀头分别在0、2、4、6、8、10点的6个方向进行消融和皱缩,利用其双极射频产生能量,将组织与射频刀头之间的电解液转换成等离子体薄层,等离子体中的带电粒子被电场加速后将组织分解为小分子气体,达到消融的目的。由于这种效应局限于目标组织的表层,而且是在相对较低的温度下(40℃~70℃),所以对周边组织的热损伤降到了最低程度。通过消融与皱缩,使髓核体积缩小,降低椎间盘内的压力,从而缓解椎间盘突出对神经根的压迫而达到治疗的目的。

在0、2、4、6、8、10点6个方向消融和皱缩

即便只消融2个通道,椎间盘内压力亦下降达80%


刀头外1mm温度即下降到45℃以下
低温等离子髓核消融成形术不但对年轻患者有效,对成年患者一样有效。50岁的冯某,反复腰腿痛下肢麻木10余年,在多家医院求医,采用各种保守治疗,效果不佳,还逐渐出现肌力下降,对患者实施了低温等离子髓核消融成形术,手术不足40分钟即顺利完成,患者症状立刻明显减轻,几乎是10年病痛一朝除!术后1个月,症状完全消失,联系随访约4个月,症状无复发,患者十分满意。
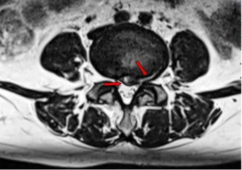
术前腰椎MR 可见腰4/5椎间盘中央偏左后突出,左后侧纤维环严重变薄,仅剩最外层纤维环完整。左侧侧隐窝狭窄,相应节段神经根受压。
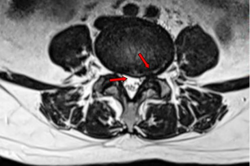
术后3个月复查腰椎MRI,对比相同节段相同层面的图像,可见纤维环回缩明显,局部侧隐窝狭窄减轻,椎管狭窄减轻。
术后3个月复查腰椎MRI,矢状位显示原压迫神经根的椎间盘突出物显著缩小