
应力性骨损伤影像学的科普知识
2023-6-1 来源:医药卫生网 - 医药卫生报 浏览:次 【查看证书】最近上班时遇到了许多青少年运动后以膝部疼痛为主诉到医院就诊的情况,常规膝关节X线平片检查阴性,而MRI检查发现胫骨近端骨髓水肿,考虑胫骨近端应力性骨损伤(骨挫伤)。日常生活中,很多人对这种应力性骨损伤认识不足,作为一名影像科医务人员,有必要对大家进行一下科普。
应力性骨损伤是生活中极为常见的骨肌损伤,包括不同程度的骨微结构的应力性损伤和终末期应力性骨折(亦称疲劳性骨折或积累性骨折),具有发病隐匿,早期临床症状不典型,极易被忽视,出现漏诊、误诊等特点,导致错过早期最佳的治疗时机。
应力性骨损伤是指骨组织在长期、反复、轻微应力作用下因无法承受重复机械负荷而发生骨微观结构损伤,临床典型表现为局部压痛等,该病始于应力性骨膜反应,并逐渐发展为部分骨折,最终导致完全骨折。应力性骨损伤患者通常会逐渐出现与活动有关的局部疼痛,并随着休息而逐渐缓解,可无肿胀;如疼痛加剧,活动时会出现局部剧痛、跛行,甚至无法站立,当进展为应力性骨折时,可出现局部压痛或肿胀。我国应力性骨损伤好发部位依次为:跖骨、胫骨、股骨干、股骨颈、骨盆。易患人群为足部承重较多的运动员,如篮球、足球、网球运动员,以及田径、体操运动员和芭蕾舞演员等。其发病与性别、个人内分泌与激素水平、体重指数及下肢生物力学结构等因素有关。研究发现,多数应力性骨折或与应力相关的损伤都没有骨折线的迹象。因此,应力性骨损伤早期诊断非常困难。当临床评估怀疑应力性骨损伤时,应尽早完善影像学检查。应力性骨损伤的影像学检查方式包括X线平片、CT、磁共振 (MRI)和骨扫描。
1、X线平片
X线平片是临床所有怀疑应力性骨损伤的首先检查方式,需要与健侧进行对比。X线平片早期可表现为局限性的骨皮质增厚、骨质疏松,主要由于骨小梁部分撕裂所致,但相应区域骨质密度明显增高,进一步可出现明显的裂隙,其下方骨质密度增高,出现骨膜反应或隆起,骨皮质增厚和骨折线,甚至发生移位,同时可见骨痂。X线检查主要其优点是:(1)不同阶段、连续的X线检查可评估骨折愈合情况;(2)对晚期应力性骨折特异性可、风险低;(3)可初步排除其他病变,多数病例通过X线检查可确诊。不足之处:(1)具有X线辐射,妊娠期女性不适用;(2)敏感性低、易误诊、漏诊;(3)对早期应力性骨损伤诊断价值不大。

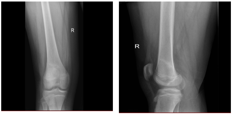
图1:男,14岁,蛙跳后右膝关节疼痛半月余。右膝关节正侧位X线平片显示股骨远端细带状骨质密度增高影。
2、CT
CT检查密度分辨率高,经过图像后处理技术可以实现多平面重建和三维立体VR重建显示病变更精细化和直观化。CT检查早期可见直或不同程度弯曲的横向透亮线,伴发邻近组织广泛的肿胀,晚期病变骨内外膜增生,横断面呈现双皮质征。CT检查主要优点是可明确的显示骨折线及骨痂形成情况。不足之处:(1)具有X线辐射性,妊娠期女性同样不适用;(2)价格较X线价格昂贵。

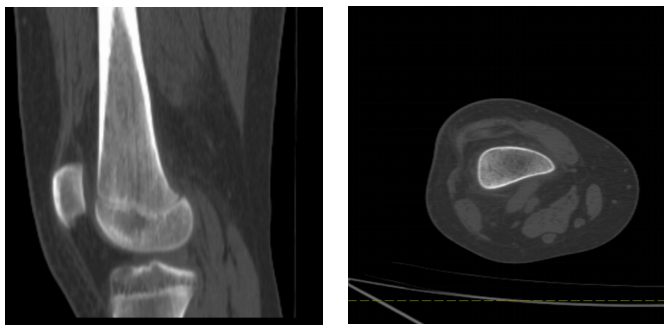
图2:与图1为同一患者,CT显示右侧股骨远端局部骨质密度增高并见模糊线样横行透亮线。
3、MRI
MRI可实现多方位、多参数成像,具有更高的软组织分辨率,无X线辐射等特点,是临床怀疑应力性骨损伤的首选影像学检查方式。MRI早期可表现为T1WI呈斜行或不规则低信号区,有时可见骨折线,周围可见低信号区,主要是因为组织水肿或出血包绕所致。T2WI及STIR呈高信号,主要是由于骨膜水肿、骨髓水肿或出血,而骨折线表现为低信号。MRI根据STIR(短T1WI反转恢复序列)、T1WI及T2WI信号表现进行分级:I 级:T2WI 提示轻度骨髓或骨膜水肿,T1WI 正常;II 级:中度骨髓或骨膜水肿,T1WI阳性;III 级:T1WI和T2WI均可见严重骨髓或(和)骨膜水肿;IV 级:T1WI和T2WI均可见严重骨髓或(和)骨膜水肿,T1WI或T2WI 出现骨折线、错位。I级和级定义为低等级骨应力性损伤;III 级和IV 级定义为高等级骨应力性损伤。MRI检查主要优点是:(1)早期诊断的首选检查方式;(2)特异性较高,尤其是对于软组织损伤;(3)能够鉴别具有应力性骨损伤症状但与应力性骨损伤无关的其他骨肌病变;(4)能够在骨扫描前发现骨应力异常;(5)与骨扫描相比,解剖学定位更好,无电离辐射,成像速度更快。不足之处:(1)有MRI禁忌证的人群不适用此检查,如幽闭恐惧症人群,早期妊娠人群;(2)检查要求较高,易受金属异物、运动干扰出现伪影;(3)检查时间长,价格偏高。

图3:与图1、图2为同一患者。T1WI显示股骨远端及胫骨近端斑点状、斑片状低信号,T2WI及其抑脂序列显示股骨远端与胫骨近端斑点状、斑片状高信号,股骨远端见带状低信号,与X线及CT检查显示带状高密度区域向对应,提示股骨远端与胫骨近端骨髓水肿、股骨远端应力性骨折。
4、骨扫描
骨扫描对应力性骨损伤的成像更为敏感,但特异性较低,可在症状出现后2-8天内提供诊断。在MRI出现之前,骨扫描是评估应力性骨损伤的金标准。骨扫描早期表现为不规则摄取和小而模糊不清的区域活动轻度增加,随着损伤程度加重,进一步出现区域活动急剧增加,通常为局灶性或形状为梭形,摄取更强烈,最后病变区穿透全层骨皮质,可见骨折线,存在极高的活动区域。骨扫描主要优点是:(1)对新发应力性骨损伤具有高度敏感性;(2)较X线平片发现应力性骨损伤更早,且可区分骨损伤或软组织损伤;(3)对有症状、需多部位成像者,骨扫描可排除可疑区域病变。不知之处:(1)价格昂贵,检查周期长;(2)电离辐射较大,妊娠期女性同样不适用;(3)图像质量不如MRI清晰;(4)示踪剂具有一定的不良反应。
总之,应力性骨损伤临床并不少见,但诊断往往延迟,初期表现出模糊的症状,可能提示肌腱或肌肉损伤;而其典型的发病部位及不同病理阶段的影像学表现均具有一定的特征性,X线平片仍是判断应力性骨折的首选方法,CT和MRI检查对鉴别诊断具有较高价值,骨扫描对病变敏感性较高,有利于发现早期病变。
(夏邑县中心医院CT/MRI室 李效亭)