
彩超是彩色的吗
2023-5-11 来源:医药卫生网 - 医药卫生报 浏览:次 【查看证书】“医生,我做的是彩超,你这怎么是黑白的?”经常遇到患者这样的疑问。很多人觉得彩超应该是彩色的,那彩超究竟是不是彩色的呢?
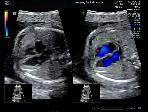
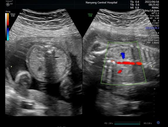
彩超是彩色多普勒超声的简称,是在B型超声的基础上,增加了彩色多普勒技术,用红色、蓝色及其亮度来显示人体组织的血流方向及速度,进一步显示目标部位的血流供应情况。当彩色多普勒功能开启的时候,图像上会出现星星点点的红色或蓝色的血流信息,称之为“彩超”。但彩色多普勒功能并不是时刻都启动的,黑白的二维图像是基础,只有基础图像清晰,才会在有需要的情况下开启“彩超”,可以更好地进一步观察目标结构,所以,“彩超”大部分时间是黑白的。

左图“黑白”,右图“彩色”

左图“黑白”,右图“彩色”
所以彩超和彩色电视机是不一样的,图像不一定是彩色的。同时,彩超医师偶尔会使用伪彩功能,使黑白图像变成彩色,可以在某些情况下改善人眼对不同回声强度的敏感度,从主观上增加了显示信号的动态范围,增强图像边界的可识别程度,提高超声对疾病的检出率。

“伪彩”功能
不管是黑白超还是彩超,我们看的图像都是平面的,也就是二维的,超声医师是通过二维切面来观察器官内部的结构。除了基础的二维成像,还有三维、四维重建成像,就是将无数个二维切面组合起来形成一个立体图像,可以更直观、更形象的观察目标结构。

宫内胎儿四维图像

子宫四维图像
所以,彩超一般情况下是黑白的,当有需要时才会出现变化,呈现不同颜色。
(南阳市中心医院超声医学科 尚晓敏)